No solo de zanahorias vive la vista: comer sano para ver mejor
 
		Conchi Lillo, Universidad de Salamanca
Todos tenemos claro que una alimentación saludable es crucial para el buen estado de salud de nuestro cuerpo, en especial para cuidar de nuestra salud cardiovascular. Lo que quizás no tengamos muy en cuenta es que también lo es para preservar la salud de nuestros ojos.
La explicación es que la retina, la parte del ojo encargada de la visión, es parte de nuestro sistema nervioso central y está formada principalmente por neuronas, unas células que demandan una gran cantidad de nutrientes y oxígeno.
Los fotorreceptores del ojo consumen mucha energía
Nuestro sistema nervioso consume una proporción importante de la glucosa de nuestro organismo, aproximadamente el 25%, y casi del 20% del oxígeno). Dicho de otro modo, las neuronas son unas células que le salen “muy caras” a nuestro organismo. Para colmo no se alimentan por sí mismas, sino a través de otras células que las asisten. Metafóricamente hablando, necesitan mayordomo.
La función de las neuronas está limitada a enviar impulsos nerviosos a sus vecinas y poco más (que ya es mucho). Lo hacen continuamente, así que todo lo demás se lo tienen que dar, digamos, “mascado”. Y resulta que los fotorreceptores –conos y bastones–, verdaderos protagonistas de nuestra visión, encargados de convertir la información lumínica que llega a nuestros ojos en algo que entiende nuestro cerebro, no son más que neuronas modificadas.
Para colmo, estos fotorreceptores presentan un consumo energético entre 3 y 4 veces superior a las neuronas más activas. Eso los convierte en las células con mayor consumo energético de todo el cuerpo humano.
La explicación a esta alta demanda energética es sencilla: necesitan reponer los pigmentos visuales (fotopigmentos) que nuestros fotorreceptores gastan cada vez que reciben un estímulo luminoso.
Esa reposición no la hacen directamente ellos, sino las células del epitelio pigmentario, que también se encargan de mediar entre los capilares sanguíneos y los fotorreceptores, pasándoles a estos los nutrientes y vertiendo sus desechos de vuelta a la sangre.
Las células del epitelio pigmentario son unas auténticas heroínas, que cumplen con su misión con una gran destreza y de forma continuada todos los días de nuestra vida. No hay que olvidar que estas células son las mismas desde que nacemos hasta que dejamos este mundo.
Para hacernos una idea de la ingente cantidad de trabajo diario que realizan a lo largo de los años, hay que tener en cuenta que en nuestros ojos tenemos aproximadamente 130 millones de bastones y unos 7 millones de conos. Y que en la zona de máxima densidad de fotorreceptores de nuestra retina nos encontramos con unos 28 fotorreceptores por célula de epitelio pigmentario. Por tanto, el epitelio pigmentario tiene un trabajo extenuante.
Tan cansado y demandante que un fallo en el engranaje de esta maquinaria en la que la ejecución de varias tareas de forma eficiente durante muchos años es crucial, puede conllevar enfermedades graves de retina e incluso a cegueras irreversibles.
 Esquema de la interacción entre epitelio pigmentario y fotoreceptores.
Esquema de la interacción entre epitelio pigmentario y fotoreceptores.Shutterstock / Designua
Complicaciones oculares por alimentación poco saludable
Un ejemplo claro de complicaciones oculares derivadas de un mal control de los nutrientes del torrente sanguíneo es el caso de la diabetes. Entre otros problemas ocasionados por el exceso de azúcar en la sangre, es común la manifestación de una patología ocular que se llama retinopatía diabética y que es consecuencia directa del deterioro de la circulación sanguínea.
Esto ocurre porque, con el paso del tiempo, demasiada azúcar en la sangre suele dar lugar a la obstrucción de los capilares sanguíneos que dan sustento a la retina, impidiendo la irrigación sanguínea. Como respuesta, el ojo intenta desarrollar nuevos vasos sanguíneos, que suelen ser defectuosos, débiles y con riesgo de sufrir fisuras fácilmente.
Otro ejemplo de las posibles consecuencias oculares de hábitos poco saludables, como el abuso de grasas y colesterol, es la degeneración macular asociada a la edad (DMAE), un trastorno ocular muy frecuente en personas mayores de 60 años. Esta enfermedad destruye lentamente nuestra visión central, la que nos proporciona la agudeza visual y la visión en colores, dificultando entre otras cosas la lectura, el reconocimiento de las caras, la conducción y la identificación de detalles finos.
En los países desarrollados, la DMAE representa la primera causa de discapacidad visual, siendo responsable del 50% de los casos de ceguera legal. Asimismo, esta patología afecta al 10% de la población mayor de 65 años y a más del 25% de los mayores de 75 años.
En España, la DMAE es la primera causa de ceguera legal, afectando aproximadamente a unas 700.000 personas. La enfermedad está causada por el daño del epitelio pigmentario, que conlleva la muerte secundaria de los fotorreceptores y, en los casos más severos, una proliferación anómala de vasos sanguíneos que irrigan la mácula (la zona central de nuestra retina, la que nos proporciona nuestra agudeza visual).
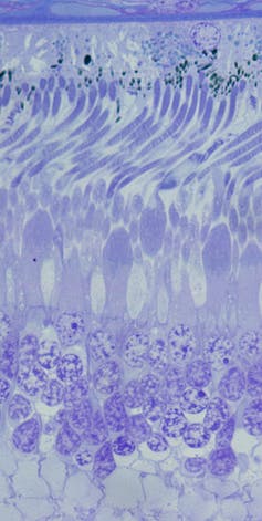
 Retina de mono.
Retina de mono.Author provided
El motivo de este daño es, entre otros factores, el desgaste prolongado que con el paso del tiempo sufren estas células epiteliales y que se ve reflejado en la acumulación y depósito de los detritos generados por los fotorreceptores y que estas células son incapaces de eliminar de forma eficiente. Así que como estas células necesitan deshacerse diariamente de gran cantidad de desechos lipídicos generados por los fotorreceptores, al llegar a cierta edad, si sumamos el cansancio acumulado del arduo trabajo de tantos años al consumo excesivo de ácidos grasos y colesterol, ese acúmulo será más dañino aún.
Por tanto, además del factor edad como agente fundamental en el desarrollo de la DMAE, otros factores de riesgo determinantes son los malos hábitos alimenticios y estilos de vida poco saludables, como el consumo de alcohol y tabaco. De hecho, el tabaquismo multiplica por cinco el riesgo de padecer DMAE y es el factor ambiental más vinculado a esta enfermedad de la retina.
También existe cierta predisposición genética a padecerla, ya que personas con mutaciones en ciertos genes (algunos conocidos y relacionados con procesos inflamatorios y otros desconocidos aún), son más propensas a desarrollarla.
En definitiva, una alimentación y hábitos de vida saludables no son solo garantía de una buena salud cardiovascular, sino que también reduce los factores de riesgo conocidos de enfermedades graves relacionadas con nuestra visión.
En algunos casos se recomienda complementar una dieta saludable con vitaminas. Sin embargo, varias revisiones realizadas por Cochrane, donde se recopilan datos de diferentes estudios poblacionales, concluyen que tomar suplementos vitamínicos (con vitamina E o betacaroteno, los más utilizados para este fin) no evitará ni retrasará la aparición de la DMAE.
Además, en cuanto a la administración de estos suplementos con el objetivo de retrasar la progresión de la DMAE en pacientes ya diagnosticados, se concluye que podrían experimentar un cierto retraso en la progresión de la enfermedad con la administración de suplementos multivitamínicos antioxidantes de vitaminas y minerales.
Este hallazgo proviene de un ensayo a gran escala realizado en una población estadounidense relativamente bien alimentada, pero se desconoce si estos resultados se pueden generalizar a otras poblaciones.
Por otro lado, esa revisión también mostró que los suplementos que contienen luteína y zeaxantina, que se comercializan mucho para los pacientes con DMAE, no parecen tener ningún efecto beneficioso sobre su progresión.
De todas formas, aunque generalmente se consideran seguros, los suplementos vitamínicos pueden tener efectos perjudiciales, y se necesita evidencia clara de sus efectos beneficiosos antes de poder recomendarlos.
Conchi Lillo, , Universidad de Salamanca
Este artículo fue publicado originalmente en The Conversation. Lea el original.
- Me gusta 0
- Me encanta 0
- Me divierte 0
- Me asombra 0
- Me entristece 0
- Me enoja 0
