Hay hongos ocultos en las células tumorales
El reciente hallazgo de hongos en el interior de tumores malignos humanos sugiere que podrían participar en los complejos mecanismos que conducen a la desarrollo del cáncer.
Si, como pensaba William Paley y sostienen los creacionistas, existe un creador todopoderoso, de algo no cabe duda: le gustan los hongos. En el reino Fungi, el reino de los hongos, se han descrito 150 000 especies, aunque los micólogos sostienen que hay unos cuantos millones más por descubrir. Los hongos prosperan en todos los ambientes imaginables, incluidas las células tumorales.
Un microbioma es la comunidad de microorganismos que se pueden encontrar conviviendo en un entorno definido como el “teatro de operaciones”. De ahí se deduce que el microbioma humano es el conjunto de todos los microorganismos (bacterias, hongos, virus, protozoos y parásitos) que viven de forma natural en el interior de nuestro cuerpo, además de sus genes y sus metabolitos. No debe confundirse con el término microbiota, que se refiere exclusivamente a los microorganismos vivos residentes en un nicho ecológico determinado.
El término microbioma contiene tanto la microbiota (comunidad de microorganismos) como su teatro de actividad (elementos estructurales, metabolitos, moléculas señal y las condiciones ambientales del entorno). Modificado a partir de Berg et al. (2020).Hay microbioma más allá de las bacterias
A día de hoy está firmemente establecido que el microbioma humano previene los déficits metabólicos, nos protege de patógenos invasores y mantiene la homeostasis inmunológica. Pero influenciados aún por los trabajos bacteriológicos de Robert Koch sobre el origen de las enfermedades infecciosas, las investigaciones en microbiología médica se han centrado siempre en nuestras bacterias endosimbióticas, es decir, en el bacterioma, que constituye más del 99 % de nuestro microbioma.
Sin embargo, los resultados de varias investigaciones clínicas recientes pusieron de relieve que el micobioma, esto es, la comunidad de hongos comensales dentro y sobre un organismo, coexiste e interactúa junto con otros microorganismos de maneras que pueden resultar beneficiosas o perjudiciales para el hospedante.
Concretamente se han detectado hongos en algunos tipos de tumores individuales y se sabe que contribuyen a la carcinogénesis en los tumores malignos de esófago y páncreas. Pero hasta el momento se desconocía su presencia, identidad, ubicación y efectos en la mayoría de los tipos de cáncer. Como tampoco se conocía ninguna investigación centrada en la influencia del micobioma en la inmunomodulación y otros estados de inmunosupresión asociados a pacientes con cáncer.
Hongos escondidos en las células tumorales
Una investigación reciente ha cambiado las reglas del juego. Basada en el análisis genómico de 17 401 muestras de tejido, sangre y plasma de tumores humanos correspondientes a 35 tipos diferentes de cáncer, ha puesto de relieve que en todas las muestras tumorales analizadas, absolutamente en todas, aparece una notable carga fúngica.
Los hongos se encontraron principalmente “escondidos” dentro de las células tumorales o en células inmunes dentro de los tumores. Lejos de estar aislados, mostraron interacciones intratumorales sinérgicas con el bacterioma y el conjunto de genes y proteínas que constituyen el sistema inmunitario (immunoma).
También se encontraron respuestas inmunitarias características y correlaciones múltiples entre la presencia en los tumores de hongos específicos y otros factores relacionados con su tratamiento.
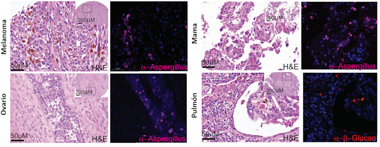
Cortes histológicos representativos de cuatro tipos de cáncer teñidos con hematoxilina y eosina (H&E). A la derecha de cada uno se muestra el mismo campo microscópico con técnicas de inmunofluorescencia, usando como biomarcadores fúngicos anticuerpos fluorescentes frente a α-Aspergillus y α–β-Glucano. Modificado a partir de Narunsky-Haziza et al. 2020.Por ejemplo, los pacientes con cáncer de mama cuyos tumores contienen Malassezia globosa, un hongo saprófito habitual de la piel, presentan una tasa de supervivencia mucho más baja que aquellos cuyos tumores no contienen dicho hongo. Además, determinados hongos específicos fueron más prevalentes en tumores de mama de pacientes mayores que en pacientes más jóvenes, en tumores de pulmón de fumadores frente a no fumadores y en melanomas que respondieron a la inmunoterapia frente a aquellos que no respondieron.
Existen también relaciones estrechas entre hongos y bacterias. Por ejemplo, el estudio sugiere que los tumores que contienen mohos Aspergillus tienden a estar acompañados de bacterias específicas, mientras que los tumores con micelios del género Malassezia tienden a tener bacterias diferentes. Eso puede tener implicaciones para el tratamiento ya que, según los resultados, se correlacionan con la inmunidad tumoral y la supervivencia del paciente.
Hongos y bacterias para detectar el cáncer a tiempo
Es un hecho establecido que la presencia en células tumorales de comunidades de bacterias y virus metabólicamente activas, inmunorreactivas, intracelulares y específicas de un determinado tipo de cáncer sirve como “sello distintivo” del mismo.
Y todo apunta a que la actividad fúngica del micobioma debería convertirse en un nuevo “sello distintivo” biomarcador del cáncer.
A la luz de los nuevos resultados, en adelante será preciso explorar mejor los efectos potenciales de los hongos durante el proceso de carcinogénesis y reexaminar casi todo lo que sabemos sobre esta enfermedad bajo la nueva óptica del micobioma.
Manuel Peinado Lorca, Catedrático de Universidad. Director del Real Jardín Botánico de la Universidad de Alcalá, Universidad de Alcalá y José Miguel Sanz Anquela, Profesor Honorífico. Departamento de Medicina y Especialidades Médicas, Universidad de Alcalá
Este artículo fue publicado originalmente en The Conversation. Lea el original.
- Me gusta 0
- Me encanta 0
- Me divierte 0
- Me asombra 1
- Me entristece 0
- Me enoja 0